横浜歯科クリニック 予防歯科サイト > はじめての方へ
はじめての方へ
当院は小さなお子様から、ご年配の方まで安心して通える歯科医院です。
「痛い」「怖い」というイメージの歯科医院ではなく、快適に治療を受け、笑顔で帰っていただける、歯科医院を目指しています。
そのために、患者様とのコミュニケーションを大切にしています。
不安・心配なこと、疑問点、要望などございましたら、いつでもお気軽にスタッフにお声がけください。
当院は完全予約制です
当院は患者様にできる限りお待たせする時間が少なくなるよう、完全予約制になっております。
大幅な遅刻は他の患者様にも迷惑になりますのでご遠慮願います。
約束の時間より遅れると、その日は診療ができない場合がございます。
お辛いところの処置を優先します
1番お辛いところの処置を優先いたします。
さらにむし歯や歯周病からあなたの歯を守るためにメディカル・トリートメント・モデル(MTM)での治療を実施しておりますので、事前に以下のような検査や情報収集を行わせていただきます。
受付・予診表記入
- 受付後、予診表にご記入ください。
- 時間になりましたら診療室へご案内いたします。
初めてご来院の方は、手続きがございますので早めにお越しください。
お持ちいただくもの
- 保険証(コピー不可)またはマイナンバーカード
- 現在お薬服用の方は、お薬手帳、お薬の紙など
問診・主な口腔内チェック
- 歯科医師による詳しい問診を行います。
- むし歯チェック、口腔内清掃歯周病検査、染め出しによる状況確認などを行います。
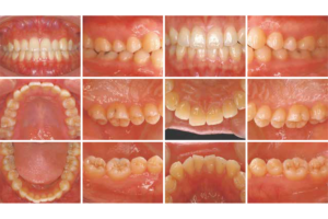
口腔内撮影
- 現在のお口の中を経過観測のために撮影いたします。
- レントゲンなどの資料と合わせてご説明いたします。
レントゲン撮影
- レントゲン撮影を行います。
- 撮影したレントゲンはデジタル化されモニターでご説明いたします。
◉咬翼法での撮影
当院では通常のレントゲン撮影に加えて、咬翼法(バイトウイング)での撮影をします。奥歯をかみ合わせて撮影する方法で、従来の歯科医院の撮影方法では見つけにくいむし歯を見つけることができます。
すべての歯を最適な角度で撮影するために、1回に10枚または14枚が必要です。当院ではより精密に診断するために14枚で撮影しています。
歯科衛生士による
カウンセリング
- ご要望をカウンセリングにてお伺いします。その後に歯磨き指導や治療を行う場合もあります。
だ液検査
- お口の中のリスクを測定するためにだ液を採取して検査を行います。
- だ液の分析から数値化されたリスクのご説明をいたします。
クラウドシステム登録
- 自分のお口の状態をスマホで確認できるクラウドサービスにご登録いただきます
歯科医師による最終チェック
治療計画のご説明
- 検査結果を踏まえて隅々までチェックいたします。
セルフケアのご提案
- その方のお口の状態にあった歯ブラシも紹介いたします。
- お口の状態によってケアの方法が変わってきます。一人ひとりにあったケアの方法をアドバイスさせていただきます。
治療
急なお痛みなどがある時は応急処置をいたします。
その後は治療計画にそって治療・メンテナンスを行います。
お会計
次回の治療予約
- 次回のご予約をお取り頂きます。
